Back to top
The St. Peter's Dental Practice - Logo

01843 860 625

Email Us

Facebook

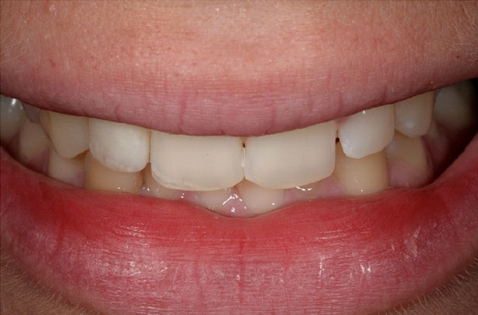
Crowns

More information on Crowns

More examples

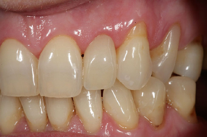
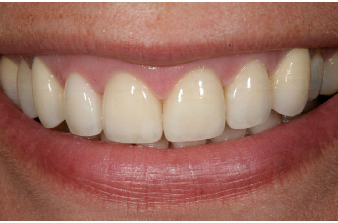
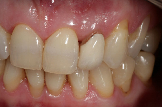
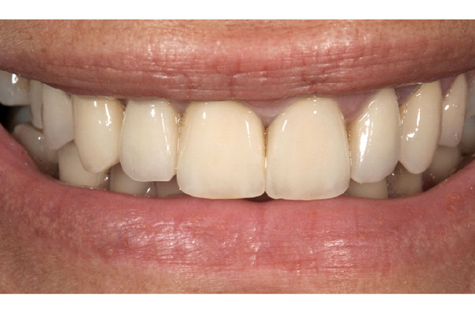
Before we begin your treatment we'll talk you through your options. We offer a full range of crowns from the older style gold to the newest cosmetic full porcelain and glass based crowns.

For instance, if you require a crown at the back of your mouth and you are more worried about durability than appearance you may prefer to opt for a hardwearing crown made from ultra-durable gold.

Alternatively, if you need a crown towards the front of your mouth you may decide to choose a natural looking cosmetic tooth-coloured one. Whatever type of dental crown is right for you, you can be sure that you'll be very pleased with the results.

The treatment will involve preparing or reshaping the tooth to ensure that once the crown is fitted, it conforms to the same size and shape as a natural tooth. It may need to be built up with a foundation or core filling first.

After preparation, an impression is taken or a scan is made of the prepared tooth and the nearby teeth, using a soft mouldable material or a dental scanner. This impression or scan is sent to the dental technician, who uses it to fabricate your crown to the exact size and shape and shade required. This will ensure that the crown fits precisely and looks fantastic.

All crowns will last for many years if good oral hygiene is maintained.

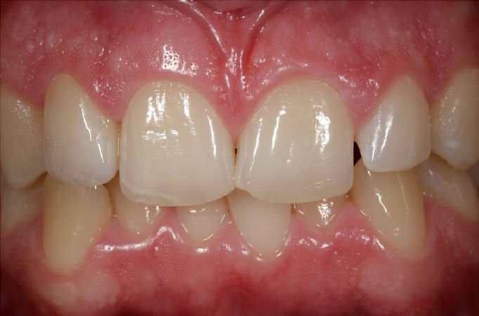
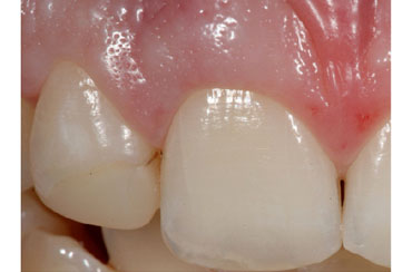
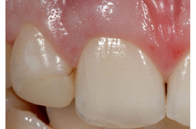
Porcelain crowns

natural appearing crowns but weaker than reinforced crowns. They are built up of many layers of tooth coloured porcelain and are translucent and very tooth-like indeed.

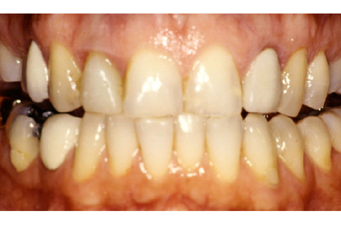
Crowns by The St.Peter's Dental Practice Crowns by The St.Peter's Dental Practice Crowns by The St.Peter's Dental Practice

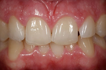
Zirconia Crowns

Tooth coloured crowns that are very strong indeed but lack the translucence of all porcelain crowns. Can be layered with porcelain to improve their aesthetic and translucency but are then prone to chipping.

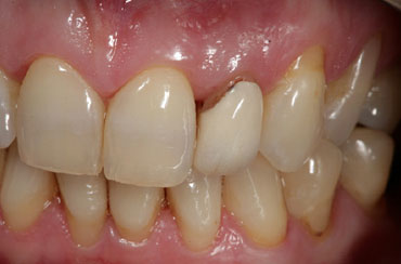
Crowns by The St.Peter's Dental Practice Crowns by The St.Peter's Dental Practice Crowns by The St.Peter's Dental Practice

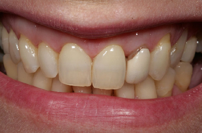
Litium Disilicate Ceramic

Tooth coloured crowns that are very strong and have good aesthetic properties especially if covered with layered porcelain to provide additional tooth-like effects.

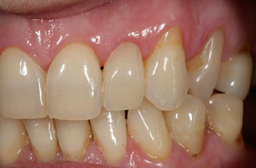
Crowns by The St.Peter's Dental Practice Crowns by The St.Peter's Dental Practice Crowns by The St.Peter's Dental Practice Crowns by The St.Peter's Dental Practice Crowns by The St.Peter's Dental Practice Crowns by The St.Peter's Dental Practice Crowns by The St.Peter's Dental Practice Crowns by The St.Peter's Dental Practice Crowns by The St.Peter's Dental Practice

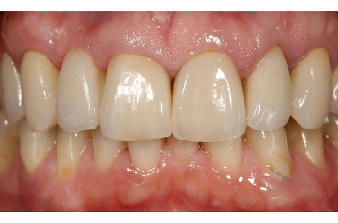
Porcelain Bonded to Gold or metal

This type of crown consists of a thin gold casting, which fits the tooth and reinforces a covering layer of porcelain, which gives the tooth a very natural appearance. The majority of crowns for back teeth and some crowns for front teeth are made in this way.

Crowns by The St.Peter's Dental Practice Crowns by The St.Peter's Dental Practice Crowns by The St.Peter's Dental Practice

All Gold

Very strong and durable but lacking in aesthetic appeal. Full gold crowns can be useful where there are very strong biting forces and there is little space in the bite between the very back teeth.

Image of the practice in St. Peter's - The St. Peter's Dental Practice

Latest News & Offers

Sorry, but we have no News right now.

More News & Latest Offers

Fees & Plans

Do you have a problem or is something bothering you?

Here at The St. Peter's Dental Practice we aim to give you the help you need at an affordable price ....

More